Diagnóstico em Endodontia - endo-e |
Página Principal |
O diagnóstico é de fundamental importância em endodontia para determinação do tratamento a ser realizado, sendo definido como a arte de identificar uma doença a partir dos seus sinais e sintomas, pois é baseado essencialmente na interpretação ponderada dos dados obtidos com o exame do paciente. |
|
![]() |
Caso o diagnóstico não puder ser feito ou a causa não puder ser determinada, então o tratamento não deve ser iniciado.
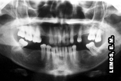
Observar radiografia panorâmica evidenciando tratamento endodôntico em todos os dentes, imagem original extraída de: Cohen, S. & Hargreaves, K. M. Caminhos da Polpa 9a. Ed. Mosby, Elsevier 2007, p59. |
![]() |
||
O diagnóstico pode ser representado por uma corrente, na falta de um elo, a corrente será rompida, colocando em risco o sucesso do tratamento | Radiografia panorâmica evidenciando tratamento endodôntico em todos os dentes, qual seria o dente causal? |
|
|
ANAMNESE |
|
|
Questionamento sobre tratamentos odontológicos anteriores, tratamentos ortodônticos e periodontais, bem como histórico de traumatismos são de extrema importância. Deve-se levar em consideração as características da dor, se esta é espontânea ou provocada, assim como a duração, se é curta ou prolongada. Da mesma forma devemos analisar a sede da dor, trata-se de uma dor irradiada, difusa, reflexa (mal localizada, o paciente tem dúvidas?) ou localizada? O paciente consegue indicar o dente responsável pela dor? |
![]() |
![]() |
||
O interrogatório deve ser objetivo e direcionado pelo profissional |
Preenchimento da ficha clínica deve ser feito com o uso das barreiras: sobre-luvas e saquinhos plásticos (gelinho chup-chup) ou filme de PVC na caneta |
|
Surgimento e evolução (quando, como e onde apareceu?) aumentou ou diminuiu? E a freqüência da dor é contínua ou intermitente? A intensidade da dor deve ser quantificada, numa escala de 0 a 10, sendo 10 a mais severa Com que a dor aumenta/exacerba ou alivia/mitigada? Por vezes, o paciente relata que o dente já doeu há algum tempo, permaneceu assintomático por um período e, atualmente está doendo novamente. Pode relatar também que, após troca da restauração, o dente passou a doer. Com relação aos fármacos, como os analgésicos, foi eficaz? Com esses dados em mãos, partiremos para o exame físico extra-oral. |
EXAME FÍSICO EXTRA-ORAL |
|
![]() |
Inspeção Clínica Extra-Oral Observar a presença de assimetria facial evidenciadora de aumento de volume externo ou alterações de estrutura e coloração da face do paciente. Toda e qualquer modificação presente deve ser analisada comparando o lado homólogo, devido as características de normalidade variar de paciente para paciente. |
|
A inspeção deve ser feita com o paciente devidamente posicionado e iluminação adequada |
Palpação Extra-Oral Trata-se de um recurso semiotécnico que tem por finalidade detectar e analisar as regiões que denotem aumento de volume, alteração na consistência, limites marginais da tumefação, grau de fixação ou mobilidade e sensibilidade. |
![]() |
![]() |
||
Usando as extremidades dos dedos | Usando ambas as mãos |
|
Procurar por nódulos, desvios de contorno ósseo, desvios/estalos em ATM e condição de abertura de boca. |
|
![]() |
![]() |
![]() |
Palpação das cadeias ganglionares manual das áreas submandibular, pré e pós auriculares e cervicais |
|
![]() |
![]() |
![]() |
Palpação da ATM, por meio da avaliação da trajetória condilar e abertura de boca |
|
Atenção para a presença de edemas ou tumefações, vermelhidão e/ou qualquer tipo de assimetria facial. Sempre que o paciente relatar qualquer tipo de edema na face, o qual pode ser de difícil visualização pelo clínico, recomenda-se avaliar pela vista superior. Exclusivamente após o adequado exame clínico e exames complementares podemos identificar a doença, o dente responsável, se é doença da polpa (viva) ou doença do periápice (morta), aguda ou crônica, indicar o tratamento e procedimento clínico na primeira sessão e nas demais sessões. |
![]() |
![]() |
||
Assimetria facial, edema difuso na região superior
esquerda da face. Dente responsável 25 - abscesso apical agudo. Na vista superior, é evidente o edema difuso na face esquerda |
Edema e/ou vermelhidão normalmente são sinais de doenças agudas do periápice (sintomáticas), tendo como nomenclatura abscesso apical agudo (AAA), consultar capítulo das doenças da polpa e periápice (Denças Endo). |
![]() |
![]() |
![]() |
|||
Edema difuso, envolvimento da asa do nariz.e região infra-orbitária, dente 23 - AAA |
|
Edema difuso e vermelhidão. Dente responsável 26 - abscesso apical agudo |
|
Edema localizado e vermelhidão. Dente responsável 46 - abscesso apical agudo |
|
![]() |
![]() |
![]() |
||
Edema localizado e vermelhidão. Dente responsável 42 - abscesso apical agudo |
Edema difuso. Dente responsável 46 - abscesso apical agudo. Na vista superior, é evidente o edema difuso na face inferior direita |
Fístulas são sinais de doença crônica do periápice (assintomáticas), tendo como nomenclatura abscesso apical crônico (AAC). Sempre que nos deparamos com uma fístula, necessário se faz mapeá-la ou introduzir um contraste, com auxílio do cone de gutapercha secundário e tomada radiográfica, identificando o dente responsável. |
![]() |
![]() |
![]() |
|||
Fístula na base da asa do nariz. Dente responsável 23, abscesso apical crônico | Fístula na base do mento. Dente responsável 41, abscesso apical crônico |
|
EXAME FÍSICO INTRA-ORAL |
Inspeção Clínica Intra-Oral Recomenda-se a secagem com gaze de qualquer região mucosa que, durante a inspeção, conote alteração evidente, pois tal recurso elimina a dispersão da luz pela película de saliva, comparando-se com a normalidade. |
|
![]() |
![]() |
![]() |
||
Inspeção da mucosa das bochechas e lábios | Abaixadores de língua descartáveis | Inspeção da mucosa superior |
|
![]() |
![]() |
![]() |
||
Inspeção da mucosa inserida do vestíbulo e assoalho bucal | Inspeção da mucosa inserida do vestíbulo | Inspeção da mucosa inserida do palato |
|
![]() |
![]() |
![]() |
||
Edema localizado. Dente responsável 21 - abscesso apical agudo |
Fístula vestibular anterior superior direita. Dente responsável 11, abscesso apical crônico |
Edema localizado. Dente responsável 14 - abscesso apical agudo |
|
![]() |
![]() |
![]() |
||
Edema localizado. Dente responsável 16 - abscesso apical agudo |
Edema localizado. Dente responsável 12 (raiz com curvatura apical distopalatina) - abscesso apical agudo |
Fístula palatina anterior esquerda. Dente responsável 22 (raiz com curvatura apical distopalatina), abscesso apical crônico |
|
|
|
![]() |
![]() |
|||
A localização do edema e/ou caminho fistuloso estará condicionado por fatores de ordem anatômica, tais como inserções musculares, presença de cavidades naturais e espessura da cortical óssea típicas de cada grupamento dentário ou até das particularidades de cada dente ou raiz envolvidas no processo. |
Edema localizado. Dente responsável 26, raiz palatina - abscesso apical agudo |
Fístula palatina posterior esquerda. Dente responsável 26, raiz palatina- abscesso apical crônico |
|
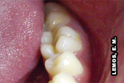
Inspeção dos Dentes |
|
Atenção para a cor e translucidez dos dentes, presença de cárie ou restauração extensa e infiltrações, trincas, fratura de coroa e/ou raiz, abrasão, atrição, erosão ou defeitos de desenvolvimento, condições periodontais, grau de mobilidade e verificação da oclusão, observando desvios de oclusão, contatos prematuros assim como perda ou ausência de contato interdental. Tal inspeção deve ser feita por quadrantes com a região seca com gaze e isolamento relativo. |
|
![]() |
![]() |
![]() |
||
Coroas escurecidas podem conotar mortificação pulpar. Observar restaurações visivelmente infiltradas. Dependendo do quadro sintomático, agudo ou crônico: periodontite apical aguda ou periodontite apical crônica, respectivamente |
Coroas com translucidez alterada (tonalidade amarelada ou opaco-leitosa) podem caracterizar calcificação difusa, dente 21. Características da dor: assintomática, detectável radiograficamente |
Coroas rosadas (origem hemorrágica) podem significar dentes traumatizados e conseqüente mortificação pulpar, dependendo se tem dor ou não, agudo ou crônico: periodontite apical aguda ou periodontite apical crônica, respectivamente |
|
![]() |
![]() |
![]() |
||
Mancha rósea dente 11, sugerindo reabsorção interna na coroa (câmara pulpar), devido a cor da polpa ser refletiva através da transparência do esmalte. Características da dor: assintomática, detectável radiograficamente | Lesões cariosas, inspecionar profundidade, exposição pulpar e associar com as características da dor para determinar o diagnóstico e tratamento adequado | Restaurações extensas, inspeção de infiltrações |
|
![]() |
![]() |
![]() |
||
Inspeção de trincas e seu envolvimento pulpar, dente 11 | Fratura coronária e seu envolvimento pulpar | Abrasão cervical dentária associada a escovação nos dentes 31 e 41. Avaliar o envolvimento pulpar |
|
![]() |
![]() |
![]() |
||
Atrição dentária e seu envolvimento pulpar | Observar erosão ou defeito de desenvolvimento no 35 e extensa lesão cariosa no 36, podendo ou não ter exposição pulpar | Condição periodontal e seu envolvimento pulpar, por meio dos testes de sensibilidade |
|
![]() |
![]() |
![]() |
||
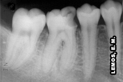
Condição periodontal, dente 36 e seu envolvimento pulpar |
Condição periodontal, observar o dente 26, vista vestibular e palatina e seu envolvimento pulpar, por meio dos testes de sensibilidade |
|
As condições periodontais são importantes para distinguir as lesões de origem endodônticas daquelas de origem periodontal. Os testes de sensibilidade pulpar, juntamente com a sondagem periodontal e as radiografias, são essenciais para essa diferenciação. Se a lesão for de origem periodontal, a polpa dental poderá estar com vitalidade. No caso de mortificada, poderá ser uma lesão associada endodôntica e periodontal conjuntamente, conhecida como endo-perio. |
![]() |
![]() |
||
Presença ou ausência de bolsa periodontal com auxílio da sonda milimetrada | Dente 11 perda de contato interdental e mobilidade grau 3. Lesão endo-perio, com envolvimento primariamente periodontal, comprometendo a vitalidade secundariamente ou posteriormente. Testes de sensibilidade = negativo |
|
![]() |
![]() |
![]() |
||
Verificação da oclusão: observar desvios de oclusão, contatos prematuros assim como ausência de contato interdental |
|
Palpação intra-Oral
Deve ser feita na mucosa vestibular e na região apical dos dentes, com a polpa digital, possibilitando a obtenção de dados relativos à sintomatologia, aumento de volume e extensão do processo. Trata-se de uma manobra importante na localização do dente algógeno, principalmente quando da dor difusa. Lembramos que vários dentes devem ser palpados previamente ao dente suspeito.
Intensidade da dor: + suave, ++ moderada e +++ severa |
![]() |
|
Palpação apical |
|
Percussão Vertical e Horizontal A percussão do elemento dentário representa um recurso semiotécnico de extrema aplicabilidade, pois propicia avaliação clínica da condição inflamatória da região periapical, além de ser útil na localização do dente responsável pela crise álgica difusa. Este exame pode ser feito de maneiras distintas, seja efetuando-se uma leve pressão ou mesmo percussão com o dedo indicador sobre a face incisal ou oclusal dentária ou, ainda, com auxílio do cabo do espelho, de forma vertical e horizontal. Quando o dente encontra-se bastante sensível, uma simples pressão com o dedo já será suficiente para provocar a dor. Caso contrário, pode-se utilizar o cabo do espelho. A percussão jamais deve ser feita primeiro no dente suspeito, mas antes nos dentes vizinhos, avaliando a sensibilidade durante a percussão de cada dente. Intensidade da dor: + suave, ++ moderada e +++ severa |
![]() |
|
Percussão com o dedo indicador (leve) sobre a face incisal ou oclusal |
|
![]() |
![]() |
![]() |
||
Percussão não exagerada | Percussão com o cabo do espelho vertical | Percussão com o cabo do espelho horizontal |
|
Mobilidade
A avaliação da mobilidade deve ser feita com a utilização de um instrumento rígido (cabo do espelho) em uma face do dente e a ponta do dedo na face oposta.
Mobilidade grau 1: o primeiro sinal perceptível de movimento acima do normal Mobilidade grau 2: movimento do dente em sentido horizontal menor que 1mm Mobilidade grau 3: movimento horizontal do dente maior que 1mm |
||
Mobilidade grau 3 |
|
Exames Complementares |
|
Os testes térmicos com o frio e o calor, elétrico e de cavidade são recursos auxiliares do diagnóstico, tendo como propósito avaliar a sensibilidade pulpar e pressupor sua vitalidade, que só será confirmada, e se ocorrer, durante a cirurgia de acesso e análise do sangramento presente e da textura e consistência do tecido pulpar.
Entretanto, os demais exames complementares e recursos auxiliares do diagnóstico, tais como, de anestesia, transluminação, de mordida, radiográfico, entre outros, também são de grande valia, como veremos mais adiante. |
|
Testes Térmicos com Frio e Calor |
|
![]() |
![]() |
![]() |
||
Tubetes anestésicos preenchidos com água para obter o lápis de gelo, acondicionados em coletor universal e armazenados no congelador | Aquecimento por meio de fricção manual para desenformar o lápis ou bastão de gelo | Lápis de gelo solto da forma (tubetes anestésicos vazios) |
|
![]() |
![]() |
![]() |
||
Lápis de gelo envolto por gaze e pronto para uso | Podemos também utilizar como forma, embalagem de agulha | Lápis de gelo aplicado sobre a superfície dentária, terço médio para cervical. Observar isolamento relativo e a área seca com gaze |
|
Orientar o paciente para apoiar a mão esquerda no descanso do braço da cadeira, após o estimulo térmico (frio ou calor) levantando-a assim que surgir a crise álgica e abaixando gradativamente na medida em que a dor declina e desaparece. Intensidade da dor: + suave, ++ moderada e +++ severa Variações no declínio, tempo para abaixar a mão: Declínio rápido (aproximadamente 5") orientado pela a mão do paciente, conotando normalidade pulpar. Declínio lento (superior à 5") orientado pela a mão do paciente, conotando comprometimento pulpar - inflamação pulpar com diferentes níveis de comprometimento. Ver o videoclipe do declínio rápido e lento durante aplicação do gás refrigerante. |
![]() |
Aplicação do estimulo com frio ou calor na área de menor espessura amelo-dentinária e maior volume da câmara pulpar, facilita a condição do estímulo térmico. Entretanto, no caso de se aproximar demais do periodonto, as fibras nervosas periodontais poderão responder ao estimulo, ao invés do dente, tendo como resultado, falso-positivo. O estimulo jamais deve ser feito primeiro no dente suspeito, mas antes nos dentes homólogos ou vizinhos, avaliando a sensibilidade durante os testes térmicos, frio e calor de cada dente, percebendo o que é normal daquele com alteração. |
|
A neve carbônica ou gás carbônico pode ser utilizado no teste térmico com o frio, Barletta & Pesce, 1994. |
|
![]() |
![]() |
![]() |
Cilindro metálico contendo CO2 | Produção do bastão de neve carbônica | Bastão de neve carbônica |
|
Gás Refrigerante |
|
Recentemente, com a otimização dos gases refrigerantes (como o diclorodifluorometano e o tetrafluoretano), agentes que promovem um decréscimo acentuado da temperatura na superfície dentária, estabeleceu-se uma maior confiança nestes testes quanto à avaliação clínica da polpa, Caldeira et al., 1996 e 1998. Atualmente o emprego dos aerossóis refrigerantes, proporcionou uma melhoria na avaliação da resposta pulpar, principalmente onde os métodos usuais (lápis ou bastão de gelo) mostravam-se mais instáveis, como, por exemplo, em dentes permanentes jovens, dentes com grande espessura de esmalte e/ou dentina e dentes traumatizados, entre outras condições, perfilando hoje em dia, entre os testes mais preciosos e confiáveis na avaliação da vitalidade pulpar. |
|
![]() |
![]() |
![]() |
![]() |
|||
Gás refrigerante Endo-Frost Roeko® -50° C |
Gás refrigerante borrifado sobre a bolinha de algodão | Aspecto da bolinha de algodão | Bolinha de algodão aplicada sobre a superfície dentária, terço médio para cervical |
|
Pequenas espumas com 4x4mm para aplicação do teste térmico com o frio, valendo-se do gás refrigerante.
Cotonetes também podem ser utilizados. |
![]() |
|
Endo-Frost Pellets Roeko® |
|
Teste térmico com o frio - gás refrigerante Observar o declínio rápido (aproximadamente 5") orientado pela a mão do paciente, conotando normalidade pulpar.
Teste térmico com o frio - gás refrigerante Observar o declínio lento (superior à 5") orientado pela a mão do paciente, conotando comprometimento pulpar - inflamação pulpar.
Observar a intensidade da dor: + suave, ++ moderada e +++ severa |
||||
Aplicação do gás refrigerante, estimulando o dente 11, com declínio rápido ( ≤ 5" ). |
Aplicação do gás refrigerante, estimulando o dente 21, com declínio lento ( > 5" ). |
|
Teste Térmico com o Calor |
|
A guta-percha aquecida foi durante algum tempo, um recurso bastante empregado, sendo que tal teste sempre foi implacavelmente criticado, não obstante à possibilidade de ocorrência de resultados falso-negativos. Contudo, quando do emprego em dentes com comprometimento pulpar crônico podemos ter como resultado falso-positivo. Orientar o paciente para elevar a mão quando o dente for sensibilizado e, abaixar quando o estimulo cessar, observando o declínio, rápido ou lento e sua ligação com o comprometimento pulpar, semelhante ao teste com o gás refrigerante. Orientar o paciente para apoiar a mão esquerda no descanso do braço da cadeira, após o estimulo térmico (frio ou calor) levantando-a assim que surgir a crise álgica e abaixando gradativamente na medida em que a dor declina e desaparece. Intensidade da dor: + suave, ++ moderada e +++ severa Variações no declínio, tempo para abaixar a mão: Declínio rápido (aproximadamente 5") orientado pela a mão do paciente, conotando normalidade pulpar. Declínio lento (superior à 5") orientado pela a mão do paciente, conotando comprometimento pulpar - inflamação pulpar com diferentes níveis de comprometimento. |
|
|
![]() |
![]() |
![]() |
||
Aplicação do Endo-PTC ou vaselina sólida sobre a superfície dentária com intenção de lubrificá-la | Aquecimento do bastão de gutapercha, aproximadamente 65°C | Aplicação da gutapercha aquecida sobre a superfície dentária, terço médio para cervical |
|
Teste Elétrico |
|
Os testes elétricos utilizam a passagem de corrente elétrica estimulando diretamente as fibras sensoriais e têm sido utilizados com sucesso particularmente em dentes pouco restaurados e dentes maduros jovens. Entretanto, em casos de traumatismos dentários, apresenta inúmeras limitações que geram tanto respostas falso-positivas (na estimulaçao de fibras periodontais ou em necroses pulpares, por exemplo) ou falso-negativas em dentes com grande espessura dentinária, restaurações extensas e em dentes portadores de coroas totais protéticas. Está contra-indicado em pacientes portadores de marca-passo cardíaco. Esse teste, serve exclusivamente para determinar se o dente está vivo ou mortificado, não determinando o grau do comprometimento pulpar - inflamação, fase reversível, transição ou irreversível. Em casos de dentes com restaurações metálicas interproximais, isolar com matrizes de poliéster, colocadas entre os dentes. Podemos utilizar como condutor elétrico na superfície dentária, além do Endo PTC o fluor gel, anestésico tópico ou creme dental. Instruir o paciente para que, assim que sentir (positivar) o estimulo elétrico, o mesmo deve soltar o cabo do aplicador de teste elétrico. No caso de mortificação pulpar, o paciente não soltará o cabo do aplicador, mesmo após o estimulo elétrico. Calibrar a intensidade da descarga elétrica expressa em números (1 a 9) em relação à massa da coroa dentária. 2 a 5 para dentes anteriores, 6 e 7 pré-molares e 8 ou 9 para molares. |
|
![]() |
![]() |
![]() |
||
Aparelho para teste elétrico | Ponta aplicadora: eletrodo | Área seca, isolamento relativo, aplicação de Endo PTC sobre a superfície para melhorar a condução do estimulo elétrico |
|
![]() |
![]() |
|||
Contato do eletrodo (teste elétrico) sobre a superfície dentária | O paciente fecha o circuito segurando na superfície metálica do aplicador de teste elétrico, observar que a luz acende quando o circuito é fechado adequadamente | Clique para assistir o videoclipe da aplicação do teste elétrico |
|
Teste de Cavidade |
|
Último teste a ser realizado, pode ser utilizado para confirmar a ausência de vitalidade de um elemento dentário. Consiste em realizar a cirurgia de acesso do dente suspeito sem anestesia. Se conseguimos atingir a câmara pulpar sem que o paciente sinta dor é sinal de que esta polpa não apresenta mais vitalidade. Ao realizarmos a trepanação, o paciente pode apresentar algum tipo de sensibilidade, que significa estar frente a uma polpa com vitalidade. Por vezes, poderemos ter a estimulação de uma terminação nervosa que ainda resistiu. A conclusão de se tratar de uma polpa vital se dá pela análise do sangramento presente e da textura e consistência do tecido pulpar. |
![]() |
|
Teste de cavidade |
|
Teste de Anestesia ou Anestesia Seletiva |
|
Por vezes, nos deparamos com situações onde o paciente apresenta odontalgias ou dores projetadas (dores irradiadas, difusas ou reflexa) de dente para dente, sendo mesmo arco dentário ou arco dentário antagônico, como também dente para locais não dentários, podendo comprometer várias áreas da cabeça e pescoço. Contudo, frente uma dor difusa ou reflexa o paciente encontra-se impossibilitado a localizar o dente comprometido ou algógeno. Notoriamente, um 1o. pré-molar superior direito com envolvimento endodôntico (algógeno) pode apresentar dor referida nos pré-molares inferiores direito, sendo reconhecido como sinálgicos. |
![]() |
|
2o. pré-molar superior refletindo a dor no 1o. molar superior ou até mesmo para locais não dentários |
|
|
Nas radiografias ao lado superior e inferior do mesmo paciente, podemos observar que o dente 15 pode ser o responsável pela dor ou dente algógeno e, o dente 45 o sinálgico no arco dentário antagônico. Entretanto, o paciente afirma enfaticamente ser o 2o. pré-molar inferior o responsável pela dor. Apesar dos dentes 15, 16 e 45 apresentarem cáries e infiltrações nas restaurações, é pouco provável que a dor acometeria todos os dentes ao mesmo tempo. Nesse caso seria muito interessante fazer uso do teste de anestesia, por meio da técnica anestésica infiltrativa sub-perióstea nas imediações do ápice do 2o. pré-molar superior, caso a dor cessar, podemos afirmar que, o dente responsável pela dor é o 2o. pré-molar superior. Entretanto, após instalação da anestesia e a dor não cessar, podemos anestesiar, por meio do bloqueio do alveolar inferior direito, e aguardar a dor cessar, significando nesse caso o 2o. pré-molar inferior o responsável pela dor. Pode-se também fazer uso da anestesia intraligamentar, na distal do 2o. pré-molar inferior direito. |
![]() |
||
|
![]() |
Na radiografia ao lado, podemos observar que o dente 46 é o responsável pela dor ou dente algógeno e, o dente 44 o sinálgico no mesmo arco dentário. Mediante essa suspeita, desde que os dentes não sejam contíguos, a anestesia intraligamentar no sulco distal do 1o. molar inferior poderá ser decisiva no diagnóstico, na possibilidade da dor cessar, o mesmo seria o responsável e, não o 1o. pré-molar inferior.
|
![]() |
|
|
Outros Testes de Anestesia Paralelamente, podemos utilizar a anestesia infiltrativa na margem gengival, próximo ao tecido hiperplásico, quando não conseguimos delimitá-lo, se é gengival ou pulpar, caso o mesmo tornar-se-á isquêmico, trata-se de hiperplasia gengival. |
![]() |
![]() |
||
Presença de pólipo pulpar no dente 46, clinicamente contido no interior da coroa e fácil visualização, não deixando dúvidas que não há relação com a gengiva marginal |
|
![]() |
![]() |
![]() |
||
Dente 36, hiperplasia conotando dúvidas da sua origem, pulpar ou gengival? | Anestesia infiltrativa na gengiva marginal próximo ao tecido hiperplásico. Não houve isquemia do tecido hiperplásico, então trata-se de pólipo pulpar |
|
![]() |
![]() |
![]() |
||
Dente 46, hiperplasia conotando dúvidas da sua origem, pulpar ou gengival? | Anestesia infiltrativa na gengiva marginal próximo ao tecido hiperplásico. Todo o tecido tornou-se isquêmico, tratando-se de uma hiperplasia gengival. A gengivectomia deve ser feita antes do isolamento absoluto |
|
Transluminação |
|
Em casos de suspeita de trincas ou rachaduras, fraturas incompletas, principalmente em dentes traumatizados, o teste de transluminação pode ser utilizado |
|
![]() |
![]() |
![]() |
||
Aparelho fotopolimerizador |
Dente 21 traumatizado, sem alteração clínica visível | Transluminação evidenciando rachadura na estrutura dentária |
|
Teste de Mordida |
|
Por vezes, durante a inspeção clínica com o uso do espelho e explorador é possível constatar fraturas coronárias e/ou radiculares, porém em alguns casos, necessário se faz, lançar mão de recursos alternativos, como o teste de mordida com instrumentos oclusais para melhor investigar a possibilidade de fraturas (completas ou incompletas) sem alterações clínicas visíveis em dentes com sensibilidade à mastigação. A radiografia periapical nesses casos não permite visualizar ou interpretar tais fraturas, salvo se os fragmentos estiverem separados. Dente 25 apresentando fratura proximal oblíqua oclusal-palatina e, dente 26 fratura da restauração em amálgama. Uma cunha de madeira foi colocada no dente 25 para afastar os fragmentos durante a tomada fotográfica, figura ao lado.
|
![]() |
|
|
![]() |
![]() |
![]() |
||
Após anestesia e remoção do fragmento do dente 25 e remoção da restauração do 26, ambos receberam restauração provisória e ajuste oclusal | Vista palatina e proximal do fragmento da cúspide palatina e restauração em resina. O paciente foi encaminhado para o Periodontista para avaliação e possibilidade de aumento da coroa clínica do dente 25 |
|
![]() |
![]() |
![]() |
||
Instrumento oclusal ou Fracfinder |
Dente 16 em tratamento endodôntico, entre sessões apresentou sensibilidade suave à mastigação, sem alteração visível, após análise radiográfica periapical | O teste de mordida foi aplicado 1o. nas cúspides vestibulares, o paciente acusou normalidade (sem dor) |
|
![]() |
![]() |
![]() |
||
Posteriormente o teste de mordida foi aplicado na cúspide palatina, o paciente acusou sensibilidade moderada (com dor) | Prosseguimos com teste de mordida aplicado com a projeção piramidal do instrumento oclusal na fosseta central (acunhamento), o paciente acusou sensibilidade moderada (com dor) | Após anestesia isolamento relativo, absoluto, remoção da restauração provisória e limpeza da cavidade, foi possível constatar a fratura no sentido proximal |
|
![]() |
![]() |
![]() |
||
Vista mesial do dente 16 extraído | Raízes vestibulares e palatina do dente 16 | Como alternativa, podemos utilizar espátula de madeira partida longitudinalmente ao meio como instrumento oclusal ou cotonetes |
|
Em alguns casos, necessário se faz, fazer uso de corantes para melhor visualizar e diagnosticar as fraturas ou trincas corono-radiculares. O azul de metileno, como também detectores de cáries podem ser utilizados. Por vezes, a utilização de 2 recursos alternativos associados a esses, se fazem necessários no diagnóstico das fraturas, principalmente as incompletas: transluminação e/ou microscópio operatório, como no caso do 2º. pré-molar superior a seguir. |
![]() |
![]() |
||
Dente 36, com os mesmos sinais e sintomas do molar anterior | Todos procedimentos anteriormente citados foram executados, porém foi necessário utilizar corantes, para melhor diagnosticar a fratura: extração |
|
![]() |
![]() |
![]() |
![]() |
|||
Azul de metileno | Detector de cáries | 2º. pré-molar superior, restauração extensa e tratamento endodôntico, dor suave à mastigação | 2º. pré-molar superior, tratamento endodôntico satisfatório sem nenhum sinal visível de fratura |
|
![]() |
![]() |
![]() |
||
Instrumento oclusal, acunhamento | Após isolamento relativo, absoluto, remoção da restauração e limpeza da cavidade, houve dificuldades para diagnosticar qualquer indicio de trinca ou fratura | Foi necessário associar corantes, transluminação e microscópio operatório para diagnosticar a trinca no 2º. pré-molar superior |
|
![]() |
![]() |
![]() |
||
Transluminação | Corante: azul de metileno | Microscópio operatório |
|
Exame Radiográfico, Intra-Oral e Extra-Oral |
|
Salienta-se que, a inflamação pulpar não se evidencia através do exame radiográfico. A radiografia presta informações relativas às condições das estruturas dentárias e às eventuais modificações volumétricas e morfológicas da cavidade pulpar, e mostra ainda como se apresenta a região óssea do dente suspeito e dos vizinhos com relação aos aspectos periodontais e periapicais. Entretanto, nas fases avançadas do processo inflamatório pulpar é possível a identificação radiográfica de aumento do espaço pericementário do dente pulpítico decorrente da reabsorção cementária e óssea presente nesta fase do curso inflamatório. Para tanto, apenas a radiografia não constitui um exame capaz de firmar o diagnóstico da inflamação aguda, mas, bem avaliada, fornece dados que acrescidos às outras informações permitem esclarecer dúvidas, por vezes, facilitando o estabelecimento do diagnóstico clínico provável, sobretudo na fase irreversível, quando da identificação do dente envolvido. É necessário tornar relevante que, a radiografia é um exame auxiliar do diagnóstico. A radiografia possui as qualidades ilusórias de todas as sombras. Deve-se observar a presença de cáries, câmara pulpar, nódulos pulpares, o endodonto, qualidades das obturações endodônticas, fratura de instrumentos ou corpos estranhos, fraturas radiculares, reabsorções internas e externas e a existência de lesões radiolúcidas sugerindo necrose pulpar. |
|
![]() |
![]() |
|
Paciente apresenta dor irradiada nos pré-molares | Tratamento endodôntico insatisfatório no 36 (responsável). Observar sobreposição do forame mental no periápice do 34, podendo levar a uma falsa interpretação |
|
![]() |
![]() |
![]() |
||
Lesões cariosas, inspecionar profundidade, exposição pulpar e associar com as características da dor, por meio dos recursos semiotécnicos para determinar o diagnóstico e tratamento adequado | Observar rarefações ósseas periapicais circunscritas no 12 e 22, rarefação óssea periapical difusa no 21 e aumento do espaço pericementário no 11 | Dente 46, observar a relação teto da câmara pulpar e assoalho, praticamente encostados, como forma de defesa da polpa, muita atenção no momento da cirurgia de acesso, pode levar à perfuração |
|
![]() |
![]() |
![]() |
![]() |
|||
Dente 32, segundo paciente, apresentado bordos cortantes e assintomático | Imagem sugestiva de granuloma, tratamento penetração desinfetante | Dente 32, segundo paciente, apresenta sangramento gengival quando escova e assintomático | Imagem sugestiva de cisto, tratamento penetração desinfetante |
|
![]() |
![]() |
![]() |
||
Alteração inflamatória fase irreversível, presença de nódulo pulpar no 46 | Após isolamento relativo, absoluto, e cirurgia de acesso | Remoção do Nódulo pulpar com curetas afiadas e pulpectomia |
|
![]() |
![]() |
![]() |
||
Observar tratamento endodôntico insatisfatório e perfuração na raiz distal do 46, pino pré-fabricado |
Dente 36, perfuração durante tratamento endodôntico, zona de perigo - furca. O tratamento será condicionado à extensão do envolvimento periodontal |
|
![]() |
![]() |
![]() |
||
Dente 26, imagem sugestiva de instrumento fraturado na raiz mésio-vestibular | Destruição cariosa coronária com envolvimento da furca, associada à fratura proximal (vestibulo-lingual). Trata-se de uma imagem radiolúscida característica de fratura radicular | Fraturas transversais nos dentes 11 e 21, mobilidade grau 3. Tratamento contenção rígida (fio ortodôntico) |
|
![]() |
![]() |
![]() |
||
O paciente apresenta suave sensibilidade à mastigação e mobilidade no dente 45, fratura radicular longitudinal, devido restauração indevida após tratamento endodôntico e sobrecarga, em função da falta dos demais dentes | Fratura radicular do 45 visível radiograficamente, os fragmentos encontravam-se separados clinicamente | Aspecto do dente 45 após extração |
|
![]() |
![]() |
|
Dente 11 coroa com translucidez alterada (tonalidade amarelada ou opaco-leitosa), assintomático | Observa-se radiograficamente calcificação difusa no 11, tratamento estético, se necessário: faceta |
|
![]() |
![]() |
![]() |
![]() |
|||
Dente 12 reabsorção interna, assintomático, tratamento pulpectomia | Dente 12 com características de reabsorção interna | Mancha rósea dente 11, sugerindo reabsorção interna na coroa (câmara pulpar), assintomático | Detectável radiograficamente (dente 11), tratamento pulpectomia. Dente 21 reabsorção externa |
|
![]() |
![]() |
![]() |
![]() |
|||
Aspecto clínico do dente 21 durante controle clínico e radiográfico após trauma, assintomático | Dente 21 com características de reabsorção externa, pulpectomia | Dente 21, segundo paciente apresenta sangramento gengival quando escova, assintomático | Imagem sugestiva de reabsorção externa, estágio avançado |
|
![]() |
![]() |
![]() |
||
Dente 21 após extração, vista vestibular | Dente 21 após extração, vista palatina | Exploração cirúrgica no 22 e constatação de trinca, extração. Trata-se do último recurso do diagnóstico |
|
Curetagem de Furca, como método adicional ao radiográfico |
![]() |
![]() |
![]() |
||
Aspecto clínico do 36 | Dúvida do envolvimento da furca | Após, anestesia, gengivectomia, isolamento relativo e absoluto, curetagem e limpeza da cavidade |
![]() |
![]() |
![]() |
||
Dente 36, foi possível preservar o dente após curetagem e análise do envolvimento da furca, seguido de tratamento endodôntico convencional | Dente 16, dúvida do envolvimento da furca | Após, anestesia, isolamento relativo e absoluto, curetagem e limpeza da cavidade, não foi possível preservar o dente, extração |
|
Traçado ou Mapeamento de Fístulas, como método adicional ao radiográfico |
|
|
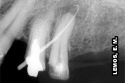
Outro recurso de fundamental importância é o traçado de fístulas, mesmo diante de dentes sem lesão aparente. Introduz-se um cone de gutapercha secundário M (médio) na fístula, com auxílio de uma pinça clínica, sob isolamento relativo, até encontrar resistência, normalmente a anestesia é dispensada. No caso em questão, observa-se que, a fístula encontra-se na altura do 1º pms e, qualquer um dos dois pré-molares podem ser o responsável. Após traçado, podemos afirmar que o responsável é o 2º pms (abscesso apical crônico), claro o 1º pms também deverá receber retratamento endodôntico. |
![]() |
||
|
![]() |
|
![]() |
![]() |
![]() |
Fístulas são sinais de doença crônica do periápice (assintomáticas), tendo como nomenclatura abscesso apical crônico. |
![]() |
![]() |
|||||
Suspeita de fístula externa no mento | Rarefação óssea periapical circunscrita | Traçado da fístula |
Dente responsável 41, abscesso apical crônico |
|
Radiografia Oclusal (Intra-Oral) |
|
![]() |
![]() |
![]() |
![]() |
|||
Aspecto clínico do 12 | Edema anterior superior direito | Radiografia periapical, dente envolvido 12, cisto periapical | Radiografia oclusal para melhor visualizar e delimitar a área |
|
Radiografia Panorâmica
(Extra-Oral) Por vezes, é necessário o uso da radiografia panorâmica, em função da extensão e envolvimento da lesão. |
![]() |
![]() |
||
Edema anterior superior direito | Panorâmica evidenciando a extensão da lesão, dente envolvido 12, cisto periapical |
|
Tomografia Computadorizada TC Extra-Oral
Para melhor detalhar os limites da lesão, previamente o tratamento ou cirurgia, a tomografia computadorizada seria de grande valia. |
![]() |
![]() |
||
Aspecto clínico | Panorâmica evidenciando a extensão da lesão, dente envolvido 11, cisto periapical |
|
![]() |
![]() |
![]() |
![]() |
|||
Cortes longitudinais | Cortes transversais | Diferentes cortes transversais mostrando extensão da lesão com aspecto cístico |
|
Tomografia Computadorizada de Feixe Cônico TCFC |
Para melhor investigar as prováveis falhas durante o diagnóstico, podemos lançar mão da tomografia computadorizada de feixe cônico. Observar os cortes transversais e longitudinais, localizando evidências de rarefação óssea periapical, estendendo-se para palatina, nos levando a suspeitar de trinca radicular. |
![]() |
![]() |
||
Aspecto clínico do dente 25. Apresenta dor com intensidade leve e irradiada | Radiografia periapical, dente 25. Tratamento endodôntico satisfatório, porém com sobre-obturação e imagem radiolúcida periapical mal definida |
|
![]() |
![]() |
![]() |
||
Imagem do escaneamento dentário, lado direito | Imagem do escaneamento dentário, lado esquerdo | Imagem microtomográfica de escaneamento dentário com corte transversal, observar o tratamento endodôntico no dente 25 |
![]() |
![]() |
![]() |
||
Imagem do escaneamento dentário panorâmico | Imagem microtomográfica de escaneamento dentário com corte longitudinal proximal, em diferentes cortes | Imagem microtomográfica de escaneamento dentário com corte longitudinal proximal mostrando área maior de reabsorção óssea por palatino |
|
![]() |
![]() |
|
Imagem microtomográfica de escaneamento dentário com corte longitudinal proximal mostrando área maior de reabsorção óssea por palatino, em diferentes cortes | Imagem microtomográfica de escaneamento dentário com corte longitudinal proximal mostrando área maior de reabsorção óssea por palatino, em diferentes cortes |
|
Testes de Vitalidade: Fluxometria Laser Doppler e Oximetria de Pulso |
|
Na década de 1980 surgiu uma técnica para avaliar a vitalidade pulpar denominada Fluxometria Laser Doppler, que permite mensurar o fluxo sanguíneo no interior dos vasos, capilares, vênulas e arteríolas, através do efeito Doppler. Tal efeito consiste na variação do comprimento de onda sofrida por um corpo ao se deslocar, quanto mais próxima a fonte, maior sua freqüência e menor o seu comprimento de onda. Vale lembrar que a Fluxometria Laser Doppler é um método não invasivo que se baseia na detecção dos movimentos de células sanguíneas através da emissão nos tecidos de uma luz de HeNe emitida a partir de uma fibra óptica. Nogueira (2003) estabeleceu parâmetros de utilização desta nova tecnologia, além de criar novos critérios para a análise de resultados analisados por meio do estabelecimento de variação percentual de fluxo entre dente vital e não vital. O valor médio da variação de fluxo para os dentes vitais foi de 92,01% e para os dentes desvitalizados 35,52%, conseguindo detectar corretamente todos os dentes desvitalizados e não identificou nenhum dente saudável erroneamente. |
|
![]() |
![]() |
|
Aparelho Laser Doppler para Fluxometria (LDF) Moor Instruments® |
Instalação da sonda do aparelho evitando movimentação e luminosidade, que podem interferir na medição |
|
A oximetria de pulso é um método não invasivo para determinação da saturação de oxigênio e taxa de pulso de um tecido, o principio consiste em dois diodos emissores de luz, um vermelho e outro infravermelho, que são ligados e desligados em ciclos de 500 vezes por segundo. As emissões destas fontes de luz, que exibem uma onda pletismográfica, são captadas por um fotodiodo receptor e convertidas por circuitos eletrônicos em saturação arterial de oxigênio e taxas de pulso. A proporção de absorção de dois comprimentos de onda de luz que detectam hemoglobina oxigenada (sangue arterial) e hemoglobina desoxigenada (sangue venoso) fornece a percentagem de oxigenação do sangue, a taxa de pulso é determinada pelas trocas entre o sangue arterial altamente saturado de oxigênio sobre o sangue venoso livre de oxigênio e a mudança na recepção da luz. Na tentativa de estabelecer parâmetros para a utilização do oxímetro de pulso como teste de vitalidade pulpar, Calil (2003), avaliou comparativamente os níveis de saturação de oxigênio obtidos entre dentes clinicamente sem alteração inflamatória. Utilizando-se um aparelho modelo Oxigraph (System Partner®) no qual foi acoplado um sensor desenvolvido pela mesma para uso odontológico, foram testados incisivos centrais e caninos superiores, verificando que o método determinou o nível de oxigenação sanguínea da polpa, capacitando-o como teste de vitalidade pulpar. |
![]() |
![]() |
![]() |
||
Aparelho Oxímetro de Pulso | Sensor desenvolvido para uso odontológico | Instalação do Oxímetro de Pulso |
|
Outros Recursos: Cintilografia e Termografia |
|
A cintilografia (ou cintigrafia) é um método de investigação clínica que consiste na injeção endovenosa ou ingestão de uma substância radioativa (geralmente utiliza-se o Tecnécio) com afinidade eletiva para determinado órgão ou tecido, permitindo o estudo da distribuição topográfica do isótopo radioativo nesse órgão ou tecido por meio de um detector especial chamado câmara de cintilação ou gama-câmara. As áreas de maior concentração do radiofármaco são consideradas hipercaptantes e podem se apresentar como imagens enegrecidas ou com coloração mais quente. Considera-se que o exame cintilográfico apresenta uma alta sensibilidade mesmo nos estágios iniciais das mudanças metabólicas do organismo, revelando alterações funcionais cerca de 20% antes do tempo em que se observam alterações estruturais, vistas nos exames radiográficos usuais, como as radiografias periapicais e panorâmicas (Davidowicz, 1992). Portanto é um caminho a ser utilizado principalmente quando as provas térmicas, mecânicas e fisiométricas apresentarem resultados duvidosos ou pouco confiáveis. |
|
![]() |
![]() |
|
Exame cintilográfico com áreas hipercaptantes em cores avermelhadas e hipocaptantes em cores azuladas | Exame cintilográfico em tons cinza. Verificar área mais densa na região de canino e pré-molares do lado esquerdo |
|
A termografia (teletermografia ou imagem infravermelha) consiste numa avaliação objetiva da dor através da imagem cutânea do aumento ou diminuição da microcirculação da região afetada, baseada no princípio de que todo objeto emite calor na forma de radiação eletromagnética, que somente necessita então ser captada através de uma câmera infravermelha. Nesta captação as regiões álgicas aparecem nos termogramas como áreas hiper ou hipotérmicas em diferentes graus e formas, indicando a presença de um problema e sua extensão. O aumento de temperatura se apresenta também com coloração mais quente e pode ser comparativamente analisada em função de outras áreas consideradas sadias. |
|
![]() |
![]() |
|
Termografia de face | Termografia dentária |
|
Outros Exames Complementares: Hematológicos e Biópsia |
|
O exame hematológico consiste na análise e verificação da crase sanguínea, enquanto na biópsia faz-se a retirada de parte de tecido ou conteúdo patológico que, analisado sob microscopia ótica, contribui para determinação do diagnóstico. |
![]() |
![]() |
![]() |
||
Exame hematológico | Dente 31, suspeita de cisto periapical | Radiografia do dente 31 |
![]() |
![]() |
![]() |
||
Cirurgia parendodôntica do 31 | Dimensões da lesão cística | Formol 37% |
![]() |
![]() |
![]() |
Recipiente com a lesão e formol | Resultado do exame microscópico: cisto periapical | Radiografia de controle, 1 ano |
|
![]() |
![]() |
|
Radiografia oclusal com extensa lesão, compatível com cisto periapical, dente responsável 12. Punção aspiratória e biópsia, resultado: cisto periapical |
|
REFERÊNCIAS BIBLIOGRÁFICAS |
|
Barletta FB, Pesce FH. avaliação in vitro dos efeitos na superfície do esmalte dentário humano utilizando-se bastão de neve carbônica. Rev. Odontol. USP, 1994, 8:11, 5.
Caldeira CL, Aun CE, Gavini G. Avaliação clínica da resposta pulpar obtida em pacientes submetidos aos testes de vitalidade com frio (gelo e diclorodifluorometano) em função da faixa etária e do grupo dentário. RPG 1998; 5:.225-233.
Caldeira CL, Sousa JIL, Aun CE, Gavini G. The importance of enamel-dentin layer in evaluation of pulp testing agents in several ages. J Dent Res 1996; 75:1098.
CALDEIRA, C. L.; LEMOS, E. M.; GAVINI, G. Tecnologia para o diagnóstico em Endodontia. Atualização clínica em odontologia, V. 1, p. 3 14, 2006.
Calil E. Determinação da vitalidade pulpar in vivo através da oximetria de pulso. (Dissertação de Mestrado) São Paulo: Faculdade de Odontologia da USP; 2003.
Cohen, S. & Hargreaves, K. M. Caminhos da Polpa. 9ª. ed. (Português), Ed. Elsevier Editora Ltda, Rio de Janeiro, 2007. 1079p.
Davidowicz H. Analise comparativa dos elementos diagnósticos fornecidos pela cintilografia e exames radiográficos pela técnica periapical do paralelismo e panorâmica frente às alterações periapicais (contribuição ao estudo). (Dissertação de Mestrado) São Paulo: Faculdade de Odontologia da USP; 1992
Lopes, H. P. & Siqueira, J. F. Endodontia: Biologia e Técnica. 2ª. ed. Rio de Janeiro. Ed. Medsi Guanabara Koogan S. A. 2004. 964p.
Machado, M. E. L. Endodontia da Biologia à Técnica. Ed. Livraria Santos Editora, São Paulo, 2007. 484p.
Nogueira ALF. Laser doppler como meio diagnóstico para vitalidade pulpar : estabelecimento de parâmetros de leitura. (Dissertação de Mestrado) São Paulo: Faculdade de Odontologia da USP; 2003.
Paiva, J. G. & Antoniazzi, J. H. Endodontia: Bases para a Prática Clínica. 2ª. ed. São Paulo. Ed. Artes Médicas. 1991. 886p.
Extraído de Anatomia da Face, 5ª Edição, Editora Sarvier. Acesso em 07/05/08 http://www.foa.unesp.br/departamentos/odontologia/disciplinas/anatomia/infeccoes_odontogenicas.asp |