| Cirurgia de Acesso Endodôntico - endo-e |
|
Página Principal |
|
Neste capítulo vamos tratar dos assuntos inerentes à Cirurgia de Acesso Endodôntico, com abordagens individuais nos grupamentos dentários e de forma detalhada. |
|
A cirurgia de acesso (CA) endodôntico destina-se ao acesso à câmara pulpar e canal radicular, valendo-se de brocas de alta rotação (AR) diamantadas e carbide. Por meio do ponto de eleição (PE), direção de trepanação (DT) e forma de conveniência (FC) alcançamos o acesso à câmara pulpar. A localização ou exploração do canal radicular deve ser feito por meio de explorador modificado (ponta reta) para canais amplos ou instrumentos endodõnticos manuais do tipo K, de fino calibre para canais conscritos, de preferência número 15, 21mm, devido a maior resistência a flexocompressão (LOPES, H. P. & SIQUEIRA, J. F., 2004), sempre vinculado à dependência do volume da entrada do canal. Após a localização e exploração do canal radicular, sempre aquém do CRI passaremos para o preparo da entrada do canal ou preparo cervical, valendo-se das brocas de Largo e Gates-Glidden (baixa rotação), respectivamente, e de número compatível ao diâmetro do canal. Após a fase de odontometria e determinação do comprimento real de trabalho - CRT utilizaremos instrumentos endodônticos - limas para acesso e confirmação do CRT, nunca inferior ao número 15, devido facilidade de visualização e confirmação radiográfica. No acaso de canais conscritos, esvaziar e ampliar com instrumentos 08 e 10 o suficiente para conceder o instrumento número 15. Para os dentes anteriores o ponto de eleição (PE) situa-se nas imediações do cíngulo (face palatina), a direção de trepanação (DT) é perpendicular à face palatina e a forma de conveniência (FC) é triangular de base incisal para os incisivos. |
|
Observar ponto de eleição PE e forma de conveniência FC para os incisivos, com formato triangular com base para incisal |
![]() |
Notar que, o ponto de eleição PE localiza-se nas proximidades do cíngulo e a forma de conveniência FC têm base maior para incisal e, todas as paredes acompanham a anatomia externa coronária, mantendo as paredes eqüidistantes, resguardando a estética e principalmente a resistência do elemento dentário que sofreu intervenção endodõntica. |
|
Valendo-se da broca (AR) 1033 (tronco-cônica invertida) precederemos com um pique no ponto de eleição (PE), para que o inicio da cirurgia de acesso possa acontecer sem deslizes da broca da broca esférica durante este procedimento. |
![]() |
|
| Pique no PE com broca 1033 |
Inicio da cirurgia de acesso endodôntico com broca esférica diamantada |
| Observar a linha em azul: longo eixo do dente e a verde: linha paralela à face palatina do ICS |
![]() |
A direção de trepanação, trata-se de um procedimento dinâmico, começa perpendicular à face palatina e termina paralelo ao longo eixo do dente. Aliás, o procedimento de trepanação e algo desejável, do contrário seria uma perfuração, acidente ou algo indesejável. Trepanação: alcançar uma cavidade pré existente - câmara pulpar. |
||
| Broca perpendicular à face palatina do dente |
|
Atenção para dinâmica de trepanação, veja que no inicio a broca localiza-se perpendicular à face palatina (1), tendendo ao longo eixo do dente, assim que aprofundamos (3), conjuntamente com a trepanação, conformando a forma de conveniência com brocas, esféricas diamantadas atuando em esmalte e carbide em dentina. Entretanto, necessário se faz, utilizar brocas de haste longa (HL) - carbide, para facilitar a iluminação e visão do operador. |
![]() |
![]() |
![]() |
|||
| 1 | 3 |
|
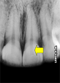
Para a seleção da broca utilizada para a CA devemos levar em consideração o volume da cãmara pulpar, valendo-se da radiografia de diagnóstico, seta amarela: |
|
![]() |
![]() |
| Broqueiro endodôntico para CA e Preparo Cervical | Brocas AR esféricas diamantadas: 1011, 1013 e 1015 - seleção do tamanho | Volume da câmara pulpar |
![]() |
![]() |
![]() |
||||
| DT e esboço da CA com broca esférica diamantada | FC com broca carbide de haste longa (HL) buscando a trepanação | Trepanação | ||||
![]() |
Acesso à cãmara pulpar e seu preparo: Fase 1: esmalte - broca diamantada Fase 2: dentina - broca carbide Fase 3: desgaste compensatório |
![]() |
|
Verificar a presença de teto da câmara pulpar com explorador no. 5 angulado, com tração para oclusal, como também, a presença de concrescência na palatina ou lingual, valendo-se do explorador no. 5 modificado, de ponta reta. |
![]() |
|||
![]() |
Observar que, a presença de teto da câmara pulpar impossibilita a remoção da polpa ou do conteúdo tóxico necrótico da região indicada pela seta. Entretanto, a presença de concrescência (seta) inviabiliza a ação do instrumento em grande parte da parede palatina ou lingual, impossibilitando a sanificação durante o PQC do canal radicular. A remoção do teto da câmara pulpar pode ser feita com broca AR esférica carbide HL ou em baixa rotação (CA - contra ângulo), valendo-se da tração para oclusal, testar antes com a broca sem rotação, verificando aonde a mesma prende. A manobra descrita, também pode ser feita com broca tronco-cônica de ponta inativa - AR 3083, aliás, daremos preferência. |
|
||
| Presença de teto, seta | ||||
|
|
|
|
| Broca AR esférica carbide HL | Broca CA esférica carbide HL | Broca tronco-cônica de ponta inativa - AR número 3083 |
![]() |
|
Com relação a concrescência palatina ou lingual (seta) a mesma pode ser parcialmente removida com brocas esféricas AR ou CA, porém, a broca AR3083 (conforme figura) seria a melhor escolha, principalmente no início do treinamento acadêmico. Entretanto, após remoção da concrescência podemos também fazer o refinamento da forma de contorno (geometria), neste caso triangular com base para incisal, com a mesma broca. |
![]() |
Utilizar a broca em forma de chama de vela para acabamento do ângulo cavo superficial, removendo todos os prismas de esmalte sem suporte dentinário, melhorando desta forma o selamento provisório posterior entre sessões.
|
![]() |
Contorno externo: forma de conveniência FC Contorno interno: orifício de entrada do canal Prof. Dr. Bombana, A. C. |
||||
|
Preparo do orifício de entrada do canal - Preparo Cervical: Localização e exploração da entrada do canal com a ponta reta do explorador ou instrumento de fino calibre, lima tipo K número 15, com 21mm. Justifica-se este comprimento, devido maior resistência a flexocompressão quando comparado aos instrumentos de 25 e 31mm. Caso necessário, ampliar a entrada de canais conscritos com instrumentos manuais, normalmente números 15, 20 e 25 (21mm), Utilizar brocas de Largo e Gates-Glidden, de número compatível ao diâmetro do canal, respectivamente. |
|
|
|
Brocas de Largo, disponíveis nos comprimentos 28 e 32mm, para dentes posteriores e anteriores, respectivamente, e, com tamanhos (diâmetros) de 1 a 6, identificável pelo no. de traços no cabo |
||
|
|
||
| Gates-Glidden, idem a Largo |
|
|
|
|
|
Exploração do canal com explorador de ponta reta e ou lima tipo k número 15. Entretanto, devido amplitude do canal, o explorador de ponta reta cumpriria satisfatoriamente seu papel, devido amplitude do canal em questão. |
|
Uso da broca de Largo, compatível ao diâmetro da entrada do canal, utilizar sempre em rotação e não forçar, apenas o peso do contra-ângulo. Lembre-se, esta broca destina-se ao desgaste compensatório com movimentos de lateralidade ou horizontal. |
|
|
A seleção da broca Gates-Glidden deve ser compatível ao diâmetro do terço cervical e médio do canal radicular, utilizar sempre em rotação e não forçar, usar apenas o peso do contra-ângulo. Lembre-se, esta broca destina-se ao preparo dos terços cervical e principalmente médio, utilizando apenas movimentos verticais, não imprimir movimento de lateralidade, a broca deve atuar apenas com sua parte ativa (ponta) sem interferências dentinárias em sua haste, o que levaria à fratura no raio de concordância (LOPES, H. P. & SIQUEIRA, J. F., 2004). Importante salientar que, as brocas de Largo e Gates-Glidden possuem pontas embotadas (sem corte), evitando desgastes indevidos no interior do canal radicular. |
|
|
Observar que o instrumento endodõntico após a cirurgia de acesso, forma de conveniência e preparo cervical adequados, atua em todas as paredes do canal radicular, preservando a resistência e a estética coronária do elemento dentário, do contrário, bastaria cortar a coroa e acessar o canal radicular. Entretanto, temos como promotores de saúde bucal, preservar a estética e resistência do elemento dentário. |
|
Videoclipe da Cirurgia de Acesso do Incisivo Central Superior (3,5mb). Este videoclipe foi produzido por: Prof. Dr. Carlos Eduardo Aun e Prof. Ms. Érico de Mello Lemos (1999). |
|
|
Videoclipe da Cirurgia de Acesso do Canino Superior (1,7mb). Este videoclipe foi produzido por: Prof. Dr. Carlos Eduardo Aun e Prof. Ms. Érico de Mello Lemos (1999). |
|
|
Videoclipe da Cirurgia de Acesso do Pré Molar Superior (3,5mb). Este videoclipe foi produzido por: Prof. Dr. Carlos Eduardo Aun e Prof. Ms. Érico de Mello Lemos (1999). |
|
|
Videoclipe da Cirurgia de Acesso do Pré Molar Inferior (2,7mb). Este videoclipe foi produzido por: Prof. Dr. Carlos Eduardo Aun e Prof. Ms. Érico de Mello Lemos (1999). |
|
|
Videoclipe da Cirurgia de Acesso do Molar Superior (8,5mb). Este videoclipe foi produzido por: Prof. Dr. Carlos Eduardo Aun e Prof. Ms. Érico de Mello Lemos (1999). |
|
|
Videoclipe da Cirurgia de Acesso do Molar Inferior (8,5mb). Este videoclipe foi produzido por: Prof. Dr. Carlos Eduardo Aun e Prof. Ms. Érico de Mello Lemos (1999). |
|
|
EM CONSTRUÇÃO... |