Esvaziamento -  endo-e

Página Principal

 

Esvaziamento do Endodonto: Pulpectomia, Penetração Desinfetante e Desobturação

 

 

Pulpectomia

A pulpectomia é o tratamento radical da polpa dentária, consistindo da incisão e exérese do tecido pulpar vital, podendo este apresentar quadro de alteração inflamatória ou não.

 

   

Polpa dentária de pré-molar inferior

 

Quando Realizar a Pulpectomia

A pulpectomia consiste de manobras cirúrgicas que visam amputar a polpa dentária, sem este tecido, o dente perde toda a sua capacidade em transmitir estímulos térmicos e mecânicos, preservando apenas sua capacidade proprioceptiva oriunda do periodonto. Portanto, é preciso conhecimento e critério para se indicar, com segurança a realização deste procedimento.

 

Alterações Inflamatórias Pulpares

Quando o tecido pulpar apresentar sinais e sintomas característicos de irreversibilidade inflamatória (dor espontânea lancinante, aumento da dor com estímulos quentes e alívio com estímulos frios), ou fase de transição onde os sinais e sintomas de irreversibilidade se confundem com os de reversibilidade, em pacientes já adultos,  opta-se pela total remoção da polpa, haja vistas que nenhum outro recurso considerado mais conservador apresentará prognóstico favorável à manutenção da saúde pulpar e periapical.

 

   

 

Exposição Pulpar

Pode ocorrer, durante o preparo cavitário, remoção de dentina cariada ou por processos patológicos, a exposição de tecido pulpar ao meio bucal. Mesmo sendo mínima, esta exposição pode acarretar na contaminação da polpa por microorganismos patogênicos, os quais comprometeriam a saúde tecidual. Nestes casos, portanto, a pulpectomia é o tratamento de escolha.

   
Aspecto clínico do dente 24, com dor provocada quando mastiga e com variações térmicas: quente e frio   Aspecto radiográfico do dente 24   Após remoção da cárie e restauração, houve exposição pulpar dos cornos vestibular e palatino. Obs.: este procedimento deveria ser feito com  isolamento absoluto
   

 

Preparos Protéticos

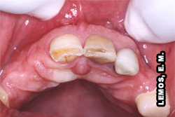
Para conseguir-se obter retenção e estabilidade da prótese necessita-se remover quantidade significativa de dentina. Devido aos estímulos térmicos gerados pelo atrito da broca contra o dente, instala-se uma reação de inflamação pulpar cuja reversibilidade depende de múltiplos fatores, tais como, idade do paciente, estado da saúde pulpar no momento do preparo, espessura de dentina remanescente, intensidade dos estímulos. Todos estes fatores devem ser observados para traçar-se o prognóstico da saúde pulpar e optar pela realização ou não do tratamento endodôntico previamente ao preparo cavitário.

 
   
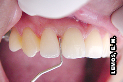
Aspecto clínico do dente 11 e 21. Com relação ao dente 11, encontra-se com a polpa sã, apenas indicou-se a pulpectomia por razões da reabilitação protética   Aspecto clínico do dente 11 e 21, o paciente não relata nenhum sinal e sintoma com relação à dor   Aspecto radiográfico do dente 11 e 21
 
   
Dente 11, pulpectomia por razões protéticas e cirurgia de acesso atípica, pela incisal, devido planejamento protético - retentor de PPF   Aspecto radiográfico do dente 11 e 21, após tratamento no 11 e retratamento endodôntico no 21 e instalação dos retentores intra-radiculares   Aspecto clínico após reabilitação protética
 

Doença Periodontal

Por vezes, a doença periodontal pode se estender de forma a comprometer o endodonto.de modo que este passe a ser mais um agente causal da afecção periodontal. Nestes casos, a cura da lesão periodontal, não dispensando a terapêutica própria, requer, também a remoção da polpa viva, justificando a prática da pulpectomia.

Normalmente, a doença periodontal compromete a saúde pulpar quando acomete o feixe vásculo nervoso principal ou forame, como no caso clínico ao lado, levando à inflamação pulpar generalizada e mortificação do elemento 11, o qual já não responde aos testes de sensibilidade pulpar térmicos.

   
  Aspecto clínico do dente 11, portador de doença periodontal localizada   Aspecto radiográfico do dente 11
 
   
Dente 11 e 12 acometidos por doença periodontal localizada, porém sem comprometer o feixe vásculo nervoso principal, talvez canal lateral nas imediações do terço cervical radicular, envolvendo a saúde pulpar   Aspecto radiográfico do dente 11 e 12   Aspecto radiográfico após tratamento endodôntico do 11 e o dente 22 mantém saúde pulpar normal após intervenção periodontal, segundo testes de sensibilidade pulpar
 

Trauma

Trauma dentário é um assunto cuja complexidade necessita de um capítulo à parte para melhor ser compreendido. Na figura ao lado podemos observar o dente 11 acometido por trauma, com exposição pulpar e rizogênese completa com fechamento apical, no qual estaria indicado a pulpectomia. No caso da rizogênese estar incompleta, a pulpotomia estaria indicada.

 
  Aspecto radiográfico do dente 11
 
   
Dente 11 após remoção do teto da câmara pulpar parcialmente exposta por meio do trauma   Aspecto radiográfico do dente 11   Realização da pulpectomia
 

A pulpectomia por esmagamento é realizada em canais atrésicos e/ou curvos. Nesta modalidade de pulpectomia, a polpa é removida durante o preparo químico-cirúrgico.

 

A pulpectomia propriamente dita é realizada em canais amplos retos ou com curvatura leve. Nesta modalidade, objetiva-se incisar a polpa no comprimento de trabalho e removê-la por inteiro, como será explicado a seguir:

 

Modus faciendi

 

A-) Anestesia, isolamento absoluto e antissepsia do campo operatório.

B-) Cirurgia de acesso coronário (C.A.) - a correta abertura coronária do dente possibilita que o instrumento toque todas as paredes do conduto.

C-) Farta irrigação e aspiração da câmara pulpar (cânula fina e grossa, respectivamente) com hipoclorito de sódio (NaOCl) a 1,0%, a fim de impedir a contaminação da polpa por microorganismos.

 
      C. A. Irrig/Asp
 

D-) Corte e remoção do tecido pulpar coronário com curetas de pescoço longo afiadas estéreis, seguida de nova irrigação com hipoclorito de sódio.

 
     
Curetas de pescoço longo   Pulpotomia: corte da polpa coronária   Polpa coronária
 

E-) Exploração do conduto com instrumento tipo K pré-curvado de fino calibre. Durante esta manobra, ladeia-se a polpa com o instrumento com o intuito de descolá-la ou desinseri-la das paredes do canal radicular.

F-) Preparo de entrada do canal radicular. Proceder com farta irrigação de hipoclorito de sódio a 1,0%. Repetir o embrocamento do campo operatório.

G-) Cálculo do X. Levar o instrumento de fino calibre pré-curvado até o CRI, descolando a polpa das paredes do conduto. Proceder com a tomada radiográfica excêntrica, a fim de se obter a distância da ponta do instrumento ao vértice radiográfico da raiz (X).

H-) Cálculo do comprimento real de trabalho (CRT). Lembrar que objetiva-se trabalhar dentro do canal dentinário preservando o remanescente pulpar, ou seja, o CRT deverá estar contido entre 1,0mm e 1,5mm aquém do vértice radiográfico, segundo as considerações anatômicas e biológicas ligadas à reparação.

I-) Confirmação do CRT. Introduzir um instrumento tipo K até o comprimento de trabalho obtido anteriormente, tomando-se o cuidado de não enovelar a polpa, e realizar nova radiografia para confirmar a posição da ponta do instrumento.

J-) Corte da polpa. Calibrar uma lima Hedstroen compatível com o diâmetro do canal no CRT. Introduzir este instrumento até o comprimento de trabalho em seguida, aplicar pressão lateral de uma parede à outra do conduto, com o intuito de descolar a polpa e prendê-la ao instrumento.

K-) Remoção da polpa. Ladeia-se a polpa com o instrumento Hedstroen pressionando o instrumento de uma parede à outra do conduto, a fim de remover o tecido excisado com a lima.

 
         
Irrig/Asp NaOCl   Descolamento pulpar até CRT   Hedstroen com pressão lateral de uma parede à outra do conduto   Cuidado p/ não enovelar a polpa   Lima Hedstroen com pressão lateral de uma parede à outra do conduto
 
 
     
Lima Tipo Hedstroen com a polpa excisada   Polpa radicular   Irrigação/Aspiração   Pulpectomia concluida
 

Após a conclusão da pulpectomia e em função do tempo despendido podemos utilizar MIC com NDP e selamento provisório. Sempre que possível, concluir o PQC e utilizar também o NDP como MIC.

No acaso de haver descontrole do limite de trabalho (CRT) além do desejado ou quando enovelamos a polpa, normalmente podemos nos deparar com pós operatórios indesejáveis.

 
 
Penetração Desinfetante
 

O tratamento das periodontites apicais corresponde à maior parte dos procedimentos endodônticos sendo, portanto, indispensável a habilidade do cirurgião dentista em lidar com estas patologias. O problema do tratamento de dentes despolpados com ou sem lesão apical condiciona-se a dois fatores: o biológico e o bacteriológico. A penetração desinfetante visa neutralizar e/ou remover o conteúdo necrótico, microorganismos, substratos e produtos bacterianos encontrados no interior do canal radicular (fatores bacteriológicos), sem levar estes componentes à porção apical ou, eventualmente, à região periapical (fator biológico).

   
  Lesões cariosas extensas, segundo testes de sensibilidade pulpar, apenas o 11 mantém-se com vitalidade   Aspecto radiográfico exibindo rarefações ósseas periapicais

 

Modus faciendi

 

A-) Anestesia, isolamento absoluto e antissepsia do campo operatório.

B-) Cirurgia de acesso coronário - a correta abertura coronária do dente possibilita que o instrumento toque todas as paredes do conduto.

C-) Preenchimento da câmara pulpar com hipoclorito de sódio a 1,0%.

D-) Introduzir um instrumento tipo K de fino calibre até cerca de  2,0mm além da entrada do canal, com suaves movimentos de vaivém, agitando a solução até se perceber o seu turvamento.

E-) Remover o instrumento, irrigar com hipoclorito de sódio e aspirar.

F-) Preencher novamente a câmara pulpar com hipoclorito de sódio e introduzir o instrumento até 2,0mm além do limite anterior. Realizar movimento de vaivém, agitando a solução até o seu turvamento, remover o instrumento, irrigar com hipoclorito de sódio e aspirar. Repetir esta manobra até alcançar as proximidade do CRI.

G-) Preparo de entrada dos canais radiculares com brocas de Largo e Gates-Glidden, procedido por farta irrigação com hipoclorito de sódio.

 

       
Cirurgia de acesso   Irrigação / Aspiração  com NaOCl   Limas Tipo K de fino calibre   Câmara pulpar preenchida com NaOCl e lima de fino calibre, agitando mm a mm   Preparo cervical e Irrigação / Aspiração NaOCl
 

H-) Cálculo do X. Continuar com a manobra de penetração desinfetante até o CRI. Realizar a radiografia excêntrica, a fim de se obter a distância da ponta do instrumento ao vértice radiográfico da raiz (X).

I-) Cálculo do comprimento real de trabalho (CRT). Lembrar que objetiva-se trabalhar dentro do canal dentinário em toda a sua extensão, ou seja, o CRT deverá estar contido entre 0,5mm e 1,0mm aquém do vértice radiográfico, segundo as considerações anatômicas e patológicas ligadas à reparação.

J-) Confirmação da odontometria. Continuar com a manobra de penetração desinfetante até o CRT calculado. Realizar a radiografia excêntrica, com o intuito de confirmar a localização da ponta do instrumento no interior do canal.

 
         
Penetração desinfetante mm a mm   Irrigação / Aspiração  com NaOCl   Penetração desinfetante até CRI   Irrigação / Aspiração  com NaOCl   Penetração desinfetante até CRT   Conteúdo tóxico necrótico neutralizado no interior do canal

Após a conclusão da penetração desinfetante e em função do tempo despendido podemos utilizar MIC com PRP e selamento provisório. Sempre que possível, concluir o PQC e utilizar Hidróxido de Cálcio como MIC.

No acaso de haver descontrole do limite de trabalho (CRT) além do desejado, normalmente podemos nos deparar com pós operatórios indesejáveis ou até mesmo, quando levamos o conteúdo tóxico necrótico para as imediações do periápice.

 

 
Desobturação...
 

CONSTRUÇÃO...

 

 
Referências Bibliográficas
 
PAIVA, J. G. & ANTONIAZZI, J. H. Endodontia: Bases para a prática clínica. 2ª. ed. São Paulo. Ed. Artes Médicas. 1991. 886p.