| Anatomia Interna - endo-e |
|
Página Principal |
|
ANATOMIA INTERNA DENTAL DO PRIMEIRO MOLAR SUPERIOR - 1º. MS |
| Aspecto anatômico do 1º. MS - 26 | Anatomia radiográfica | Situação do 1º. MS no arco dentário | Inclinação em ângulos (graus) para os sentidos: |
![]() |
![]() |
![]() |
![]() |
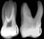
| Vistas: vestibular, mesial, oclusal, distal e palatina, respectivamente | Dente 26 |
Plano mediosagital, ângulo formado com o plano mediosagital |
Mesiodistal (0º) e vestibulopalatino (15º) |
|
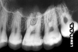
Características radiográficas do 1º. MS - 26, com incidência orto-radial |
|
Tomada radiográfica com a técnica do paralelismo, com auxílio do posicionador radiográfico. Desta forma, as distorções são minimizadas. |
|
|
Com relação ao irrompimento, entre 6 e 7 anos e término da rizogênese entre 9 e 10 anos. Observar o achatamento proximal na raiz mésio-vestibular: |
|
|
|
Os primeiros molares superiores possuem
normalmente 3 raízes, porém, a raiz mésio-vestibular pode se apresentar com 1 (40%) ou 2 (60%) canais, devido o achatamento proximal,
similar o que acontece nos segundos pré-molares superiores, segundo a média
dos autores - Hess, 1924; Pineda & Kuttler, 1972; De Deus, 1992: |
|
|||
|
|
Vistas vestibular e proximal (mesial) do 1o. MS com 3 raízes e 3 canais (40%) |
|||
|
Observar que durante a rizogênese a raiz MV nos molares superiores sofrem achatamento proximal originando 1 ou 2 canais. A forma e o número dos canais são determinados pelas paredes dentinárias, Hess, 1924. |
|
|
|
|
||||
|
Vista vestibular Rizogênese incompleta |
|
MV - 1 Canal Rizogênese incompleta |
|
MV - 2 Canais Rizogênese completa e fechamento apical |
|
MV - 2 Canais Rizogênese incompleta |
||
|
A raiz mésio-vestibular do primeiro molar superior pode se apresentar com 2 (60%) canais, devido o achatamento proximal, podendo começar (cervical) com 1 canal e terminar (apical) com 2 canais independentes, começar (cervical) com 2 canais e terminar (apical) com 1 canal, começar (cervical) com 2 canais, unir-se no terço médio e terminar (apical) com 2 canais novamente, segundo a média dos autores - Hess, 1924; Pineda & Kuttler, 1972; De Deus, 1992: |
|
|||
|
|
Configuração da raiz mésio-vestibular em percentuais: 39,3%, 23,7%, 12,8%, 12,2% e 12%, respectivamente |
|||
|
Com relação aos comprimentos em milímetros do 1o. MS, podemos citar, Máximo (25,5mm), médio (21,3mm) e mínimo (18mm), respectivamente. |
|
| Direção da raiz | ||||||||
![]() |
Direção da raiz mésio-vestibular do 1o. MS:
Reta: 21% Curvatura distal: 78% |
|
Direção da raiz disto-vestibular do 1o. MS:
Reta: 54% Curvatura distal: 17% Curvatura mesial: 19% Pseudo baioneta: 9% |
|
Direção da raiz palatina do 1o. MS:
Reta: 40% Curvatura radicular apical vestibular: 55% |
![]() |
||
| 1º. Molar Superior, nas vistas vestibular e proximal (mesial) e transversais | Características dos canais nos cortes transversais: | |
![]() |
Terço apical: Forma elíptica ou circular para todos canais
Terço médio: Forma elíptica, alongada de vestibular para palatino e Ovalar ou circular para o DV e Palatino
Terço cervical: MV - Forma de vírgula para 1 canal e "oitoide" para 2 canais DV - Ovalar ou circular P - Ovalar ou circular |
|
|
Características dos canais nos cortes transversais do 1º.
Molar Superior
- entrada dos canais: Observar a configuração dos canais nas raízes mésio-vestibulares, com 1 e 2 canais: MV - Mésio-vestibular MP - Mésio-palatino |
![]() |
||
| 3 Canais | 4 Canais | ||
|
Aspectos radiográficos de alguns tratamentos endodônticos variando o número de canais e a configuração das raízes mésio-vestibulares |
| Raiz mésio-vestibular - 1 canal | Raiz mésio-vestibular - 2 canais independentes | Raiz mésio-vestibular - 2 canais independentes no terço cervical unindo-se no terço apical | ||
![]() |
![]() |
![]() |