| Seleção dos dentes para montagem no manequim - endo-e |
|
Página Principal |
|
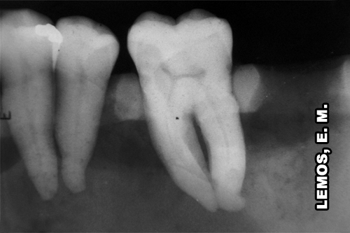
Observar o 2o. molar inferior esquerdo com a relação teto da câmara pulpar e assoalho diminuída, canais atrésicos e curvatura cervical e apical moderada, principalmente nos mesiais. |
|
Observar o 1o. pré-molar inferior direito com anatomia normal, 1o. molar apresenta câmara pulpar com volume normal com relação à distância teto da câmara pulpar e assoalho e ligeira curvatura cervical nos canais mesiais. 2o. molar invertido no sentido proximal, quando o correto seria um dente do lado oposto, apresenta câmara e canais radiculares atresiados, dificultando principalmente, o treinamento inicial. |